タウン形成外科クリニック
クリニック一覧 クリニック
一覧
タウン形成外科クリニック
電話受付時間 10:00 - 19:00(日祝 - 18:00)
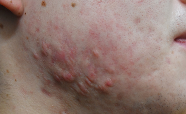
ニキビ跡の治療

ニキビ跡の治療

治療一覧

⾊素沈着(⾚み、しみ)の治療

モデルイメージ

ニキビ跡の⾚み、茶⾊いしみはニキビの炎症後に起きた⾊素沈着です。
⾚みは、ニキビ後の肌が再⽣されるまでの⼀時的な場合もありますが、⾃然に改善するのを待つより、早くきれいに治したい場合は積極的に治療を受けることをお勧めします。
茶⾊いしみは、⾃然経過後も残ってしまうことが多く、早めの治療がよいでしょう。


■内服、外⽤薬、ドクターズコスメ

ニキビ跡の⾚み、茶⾊いしみに対して、美肌のビタミンと⾔われるビタミンC、内服薬から美⽩クリームまで、専⾨医が適切な治療法をお勧めします。


シナール(ビタミンC内服薬)

⾝体の内⾯から美肌へと導く、ニキビ跡の⾊素沈着の治療に⽋かせないビタミンです。

シナール(ビタミンC内服薬)

シナール(ビタミンC内服薬)

標準的な治療費⽤ 1⽇1200㎎ 30⽇分 6,600円

リスクと副作⽤ 胃不快感、吐き気、嘔吐

ビタミンC誘導体10%ローション

⽪膚に吸収されやすい誘導体のビタミンCで、ニキビ跡治療中の保湿効果もあります。

ビタミンC誘導体10%ローション

ビタミンC10%ローション

1本 30ml 11,000円


活性保持型ビタミンC・ASVC35%クリーム

ニキビ跡を含めた様々な肌トラブルに効果のある医療⽤活性保持型ビタミンCで、さらに35%という⾼濃度を実現しました。

活性保持型ビタミンC・ASVC35%クリーム

ASVC35%(活性保持型ビタミンC)クリーム

20g 15,400円

⾼濃度ビタミンCによる治療についてくわしくはこちら




トランサミン(トラネキサム酸)

肝斑やニキビ跡などの炎症後の⾊素沈着には⽋かせない内服薬です。

トランサミン(トラネキサム酸)

トランサミン(トラネキサム酸)

標準的な治療費⽤ 1⽇1500㎎ 30⽇分 6,600円

リスクと副作⽤ ⾷欲不振、悪⼼など


ハイドロキノン(漂⽩軟膏)

しみや炎症後の⾊素沈着に⽤いられる代表的な外⽤薬です。

ハイドロキノン(漂⽩軟膏)

ハイドロキノン軟膏

5g 5,500円


シスペラクリーム(美肌・美⽩クリーム)

ニキビ跡の⾊素沈着に対して、美⽩効果がハイドロキノンの4 倍もある医薬専売クリ−ムです。

シスペラクリーム(美肌・美⽩クリーム)

シスペラクリーム

1本 50g 33,000円


■フォトフェイシャル(IPL)

フォトフェイシャルとはIPLという特殊な光を照射する治療です。
フォトフェイシャルの光は、ニキビ跡の⾊素沈着である茶⾊いしみの原因であるメラニン、⾚みの原因である⽑細⾎管を同時に治療することができます、IPL の光が患部に当たると、光エネルギーが熱に変わり、ニキビ跡のトラブルを改善します。フォトフェイシャルは、肌に対する負担が軽く、ダウンタイムが少ない治療です。
当院では、フォトフェイシャルM22という機器を使⽤しております。

フォトフェイシャル(M22)

フォトフェイシャル(M22)

フォトフェイシャルについて詳しくはこちら


■レーザー

レーザーの熱は、ニキビ跡の⾊素沈着である茶⾊いしみの原因であるメラニンを破壊して、しみをなくします。ただし、ニキビ跡のしみは炎症後の⾊素沈着という状態であり、レーザー熱により、かえってしみが濃くなるという逆効果の場合もあるので、専⾨医による的確な診断、治療が必要です。
当院では、主にQスイッチNd : YAGレーザーを使⽤して治療を⾏っています。

YAG(ヤグ)レーザー
YAG(ヤグ)レーザー
YAG(ヤグ)レーザー

YAG(ヤグ)レーザー

しみの⽪膚レーザー治療について詳しくはこちら

凹凸(でこぼこ)、クレーターの治療

ニキビ跡に凹凸(できぼこ)やクレーターができてしまう原因は、炎症ニキビ、化膿ニキビなどの重症ニキビの経過が⻑引いたため、⽪膚が⼗分に再⽣されない(盛り上がらない)ことによるものです。ニキビ跡の凹凸(でこぼこ)やクレーターは⾃然に治ることはなく、専⾨的な治療で、⽪膚の再⽣を促して平らに近づけることを⽬的とします。


■ライトプリペア(ニキビ跡レーザー)

ライトプリペアとはフラクショナルレーザーの⼀種で、ニキビ跡の凹凸やクレーターに対して、他の治療で改善が⾒られなった場合に⾏う、効果の⾼い治療です。
凹凸やクレーターの底⾯に薬⽤炭を塗布し、メラニンなどの⿊い⾊素に反応するレーザー(YAGレーザー、ダイオードレーザーなど)を当てることで組織の修復を図ります。


YAG(ヤグ)レーザー
YAG(ヤグ)レーザー
YAG(ヤグ)レーザー

YAG(ヤグ)レーザー



ダイオードレーザー
ダイオードレーザー
ダイオードレーザーー
ダイオードレーザー

ダイオードレーザー



■サブシジョン

ニキビ跡のへこみに対して、サブシジョンといって、医療用の針で皮下の癒着した組織を剥離してひきつれを解消します。
さらにサブシジョンでへこみを改善した皮下組織にヒアルロン酸を注入して盛り上げることもさらに有効です。


■ダーマペン

ニキビ跡の凹凸(でこぼこ)、クレーターに対して、ダーマペンは皮膚本来の回復力、再生力を促して治療します。

ダーマペンについて 詳しくはこちら

ニキビ跡はどこまできれいに治せるか〜Dr.⽯原による解説〜

Dr.石原

「ニキビ跡を残さないためには、ニキビができた際の早めの対策、治療がまずは不可⽋となります。それでもニキビ跡が残ってしまった場合には、専⾨医による診断の元に、適切な治療法を選択しましょう。
⾚み、茶⾊いしみと⾔った⾊素沈着に対しては、内服薬、外⽤のクリームや医療⽤コスメを積極的に併⽤することをお勧めします。さらに、⾊素沈着の⾊調、濃さや範囲などから、光を使ったフォトフェイシャル(IPL)を使⽤するのか、熱によるレーザーを選択するのかは、的確な診断が重要です。⾊素沈着の治療には最低半年くらいはかかることを考えていただきたいですが、内服や外⽤薬を気⻑に続け、フォトフェイシャルについても1〜2年かけて治療を受けている⽅には、『ニキビができる前よりも肌がきれいになった』と実感される⽅も少なくありません。
ニキビ跡の凹凸やクレーターについては、⽐較的程度が軽い場合は、ダウンタイムが少ないダーマペンで始めていきますが、クレーターの程度が深い、ダーマペンでも効果に限界がある場合は、ダウンタイムがやや⻑くなりますが、ニキビ跡レーザー(ライトプリペア)をお勧めしています。通常のフラクショナルレーザーが細かい『点』で治療するのに対し、当院で⾏っているライトプリペアはクレーター、へこみを『⾯』で治療するため、より効果が⾼い治療です。3〜4か⽉ごとに3回程度⾏えば、かなりの効果が期待できると思います。
ニキビ跡をどこまできれいにできるかは、正しい治療法をよりじっくりと⻑く⾏うかに明らかに⽐例しています。ぜひ、ご相談ください。」

ニキビ跡治療についてよくいただく質問

患者さんからの質問に、石原先生がお答えしています。

ニキビ跡の治療で最も効果のある⽅法はなんですか?
ニキビ跡の状態によって異なりますが、⾚みであればフォトフェイシャル、茶⾊いしみであればレーザー、でこぼこ(凹凸)、クレーターであればフラクショナルレーザーが、最も効果がある治療と⾔っていいと思います。(回答者 石原信浩先生)
閉じる
ニキビ跡は⾃然に治りますか?
ニキビがある程度治ってきた段階での⾚みであれば、数か⽉程度で⾃然に改善する場合があります。茶⾊いしみ(⾊素沈着)でも⾃然に改善していく場合もありますが、内服や外⽤薬を積極的に使⽤した⽅が、より早く、よりきれいに治っていきます。クレーターの場合は⾃然に治っていくことは期待できないので、専⾨医にご相談の上、適切な治療をお勧めいたします。(回答者 石原信浩先生)
閉じる
ニキビ跡は塗り薬、飲み薬だけで治療できますか?
ニキビ跡の⾚みや茶⾊しみ(⾊素沈着)は、内服薬としてビタミンCが最も適しています。ニキビの炎症後の⾊素沈着にはトランサミンの内服も効果的です。塗る外⽤薬としてもビタミンCは効果的で、ハイドロキノン漂⽩軟膏や、美⽩⽤医療⽤化粧品としてシスペラクリームなどもお勧めできます。(回答者 石原信浩先生)
閉じる
ニキビがある状態でダーマペンはできますか?
ダーマペンは特殊な極細のいくつもの針で、⽪膚に細かい⽳を開けて、ニキビ跡の凹凸やクレーターを治していく治療ですが、現在でも活発に炎症を起こしているニキビや化膿ニキビに対しては、症状を増悪させる可能性があるので避けるべきでしょう。(回答者 石原信浩先生)
閉じる
ニキビ跡のレーザーのダウンタイムはどのくらいですか?
ニキビ跡のクレーターのレーザー治療は、フラクショナルレーザーと⾔って、ニキビ跡のへこみに細かい傷をつけて治癒過程で盛り上がるのを期待するのですが、⾚みや腫れといったダウンタイムが数⽇から1週間はあります。当院で⾏っているライトプリペアもフラクショナルレーザーの⼀種ですが、ニキビ跡のへこみの底⾯をレーザーでしっかり反応させるため、ダウンタイムはさらに⻑く、1週間から10⽇くらいは⾚みの後に薄いかさぶたができて剝がれていきます。ダウンタイムが⻑いほど治療効果が⾼くなると考えていただくとよいでしょう。(回答者 石原信浩先生)
閉じる
サブシジョン治療は痛いですか?
サブシジョン治療は、皮下のニキビ跡の瘢痕やひきつれを剥離するのに、やや太い医療用針を使用します。そのため局所麻酔を使用するので、痛みの心配は要りません。(回答者 石原信浩先生)
閉じる
サブシジョン治療のダウンタイムはどのくらいですか?
サブシジョン治療で剥離する範囲は小さい部位に限られているので、多少の腫れや内出血を伴うことはありますが、ダウンタイムは2~3日程度とかなり少ないと考えていいと思います。(回答者 石原信浩先生)
閉じる

ニキビ跡治療の流れ

モデルイメージ

お電話・メールでのご予約

ドクターとのカウンセリング

ニキビ治療のお申込・治療
(カウンセリング当日にダーマペン、ライトプリペアなどのニキビ跡治療が可能)

ニキビ跡の治療時間、アフターケアなどについてはこちら


※表参道院は美容外科手術を主に行う専門クリニックのため、ニキビ跡治療をお受けいたしておりません。
何卒ご了承ください。詳しくはお問い合わせください。



症例写真(ニキビ跡)

症例 1  ニキビ跡(ライトプリペア)
before_after before_after
症例1 ニキビ跡(ライトプリペア) 治療前

治療前

症例1 ニキビ跡(ライトプリペア) 1回目治療後

1回目
治療後

症例1 ニキビ跡(ライトプリペア) 2回目治療後

2回目
治療後

標準的な治療費用 
33,000~110,000円(税込)
リスクと合併症 
色素沈着、赤み、腫れなど

症例 1  ニキビ跡(ライトプリペア)  33歳女性 

石原理事長、立山先生、工藤先生 写真
DOCTOR’S COMMENT  「ニキビ跡の凹凸が強い方です。新たなニキビはできないとのことで、自宅での高濃度ビタミンCクリームとロ−ションのスキンケアと、ライトプリペアを半年に2回行ないました。ここまで凹凸が目立たなくなって、ご本人は大変満足です。」

症例 2  ニキビ、ニキビ跡治療(ケミカルピーリング)
before_after before_after
症例2 ニキビ、ニキビ跡治療(ケミカルピーリング) 治療前

治療前

症例2 ニキビ、ニキビ跡治療(ケミカルピーリング) 治療後

治療後

症例2 ニキビ、ニキビ跡治療(ケミカルピーリング) 治療前

治療前

症例2 ニキビ、ニキビ跡治療(ケミカルピーリング) 治療後

治療後

標準的な治療費用 
7,700~198,000円(税込)
リスクと合併症 
色素沈着、赤み、腫れなど

症例 2  ニキビ、ニキビ跡治療(ケミカルピーリング)  22歳男性 

石原理事長、立山先生、工藤先生 写真
DOCTOR’S COMMENT  「炎症ニキビだけでなく、ニキビ跡のでこぼこがかなり強い方です。 通常のケミカルピーリングの他にビタミンCイオン導入、抗生物質内服・外用なども組み合わせて半年ぐらいでかなり改善しました。 わずかに残るニキビ跡の凹凸は近いうちにダーマペンやライトプリペアでさらに改善を目指します。」

症例 3  ニキビ、ニキビ跡治療(ケミカルピーリング)
before_after before_after
症例3 ニキビ、ニキビ跡治療(ケミカルピーリング) 治療前

治療前

症例3 ニキビ、ニキビ跡治療(ケミカルピーリング)) 治療中4ヶ月経過

治療中
4ヶ月経過

標準的な治療費用 
7,700~198,000円(税込)
リスクと合併症 
色素沈着、赤み、腫れなど

症例 3  ニキビ、ニキビ跡治療(ケミカルピーリング)  24歳男性 

石原理事長、立山先生、工藤先生 写真
DOCTOR’S COMMENT  「ニキビの経過が長く、毛穴の開き、ニキビ跡(凹凸、赤み)が目立っていました。ケミカルピーリングとフォトフェイシャルを効果的に交互に行う治療で、4ヶ月でここまで改善しています。」

症例 4  ニキビ、ニキビ跡(ケミカルピーリング)
before_after before_after
症例4 ニキビ、ニキビ跡(ケミカルピーリング) 治療前

治療前

症例4 ニキビ、ニキビ跡(ケミカルピーリング)) 治療後

治療後

標準的な治療費用 
7,700~198,000円(税込)
リスクと合併症 
色素沈着、赤み、腫れなど

症例 4  ニキビ、ニキビ跡(ケミカルピーリング)  22歳男性 

石原理事長、立山先生、工藤先生 写真
DOCTOR’S COMMENT  「炎症性のニキビ治療をしっかり行うことが、結果的にニキビ跡治療にもつながります。ケミカルピーリングとビタミンCの治療でここまできれいになりました。さらにダーマペンやレーザーを追加して行うことも効果的です。」

症例 5  ニキビ、ニキビ跡(フォトフェイシャル、ダーマペン)
before_after before_after
症例5 ニキビ、ニキビ跡(フォトフェイシャル、ダーマペン) 治療前

治療前

症例5 ニキビ、ニキビ跡(フォトフェイシャル、ダーマペン) ニキビ治療後

ニキビ
治療後

症例5 ニキビ、ニキビ跡(フォトフェイシャル、ダーマペン) ニキビ跡治療後

ニキビ跡
治療後

標準的な治療費用 
18,700~154,000円(税込)
リスクと合併症 
色素沈着、赤み、腫れなど

症例 5  ニキビ、ニキビ跡(フォトフェイシャル、ダーマペン)  28歳女性 

石原理事長、立山先生、工藤先生 写真
DOCTOR’S COMMENT  「ケミカルピーリングによる炎症・化膿ニキビ治療を1年行い、新たなニキビができなくなる状態に安定させた後に、ニキビ跡治療としてフォトフェイシャルを5回、凹凸の強い部分にダーマペンを2回行いました。適切な治療により、ニキビ跡はここまできれいにすることができます。」

症例 6  ニキビ跡(ケナコルト注射)
before_after before_after
症例6 ニキビ跡(ケナコルト注射) 治療前

治療前

症例6 ニキビ跡(ケナコルト注射) 治療後

ニキビ
治療後

標準的な治療費用 
5,500~22,000円(税込)
リスクと合併症 
効果が弱い、かぶれなど

症例 6  ニキビ跡(ケナコルト注射)  21歳男性 

石原理事長、工藤先生、近藤先生 写真
DOCTOR’S COMMENT  「ニキビの感染、炎症を繰り返していくうちに盛り上がりのニキビ跡(ケロイド)になった場合に、ステロイドを含むケナコルト注射が効果的です。合計3回の注射でここまで改善しました。」

傷跡修正、ケロイド治療について詳しくはこちら

治療一覧


タウン形成外科クリニック

お得情報はこちら

クリニック一覧

タウン形成外科クリニック CM

totop