-
- いわき
- 随時
- 【受付中】
- 仙台
- 随時
- 【受付中】
- 郡山
- 随時
- 【受付中】
-
- 盛岡
- 随時
- 【受付中】
- 郡山
- 随時
- 【受付中】
傷跡修正、ケロイド治療は私たちにお任せください。どこまできれいになるか、あきらめずに私たちにご相談ください
あなたのお悩みは以下の項目に当てはまりませんか?
- もうこれ以上きれいにならないとあきらめていた。
- どのような治療法があるのか知りたい。
- できれば手術以外の方法で治したい。
- かえって傷跡が目立ったり、悪くならないか心配。
- 傷跡修正の上手い名医を知りたい。
傷跡修正、ケロイド治療に様々な治療法から選択
ケロイドと肥厚性瘢痕
ケロイドとは、ケガ(外傷)、やけど、外科手術などの傷が治っていく過程で、生成される繊維組織が過剰となり、赤く盛り上がった傷跡のことを言います。
一般的に、傷跡は赤く盛り上がることはあっても、半年から1年くらいの経過で盛り上がりがなくなり、白くなっていくことがほとんどのため、そのような一時的に赤い盛り上がりの傷跡は、ケロイドとは区別して、肥厚性瘢痕(ひこうせいはんこん)と言います。
ケロイドと肥厚性瘢痕の二つを厳密に区別することは難しいですが、大まかに比較すると以下のようになります。
|
ケロイド |
肥厚性瘢痕 |
| 原因 |
わずかな傷でも起こりうる |
比較的深い傷で、治りが遅い場合に起こりやすい |
| 体質 |
いわゆるケロイド体質 |
体質と無関係なことが多い |
起こりやすい 部位 |
前胸部(デコルテ部分)、肩、耳、恥骨上部に起こりやすい |
全身どこでも起こりうる |
| 症状 |
赤み、盛り上がり、かゆみ、痛み |
ケロイドと同様だが比較的軽い |
| 傷の大きさ |
元の傷を超える |
元の傷の大きさをほぼ超えない |
写真で見るケロイドと肥厚性瘢痕の違い
ケロイドと肥厚性瘢痕の違いについて、また、ケロイドと間違いやすい赤い瘢痕、白い瘢痕についても写真で解説いたします。
赤い傷跡(瘢痕)

-
切開法による二重手術の約1か月後の赤い傷跡です。切開線に沿った1本の傷で、盛り上がりも痛みもありません。傷が治っていく過程での一時的な赤みで、3か月程度でほぼ目立たないほどきれいに治っていきます。治療は必要ありません。
傷跡(瘢痕)

-
眉と眉の間に横に走る白い傷跡です。ケガをした後に、応急処置的な簡単な縫合を受けると、経過とともに傷跡が広がって、治癒後に幅の広い瘢痕となってしまうことがしばしばあります。瘢痕として完成して、これ以上変化がないという意味から、成熟瘢痕ともいいます。
肥厚性瘢痕

-
ケガした後に、特に縫合などの治療を受けずに放置していたためにできた肥厚性瘢痕です。傷が治る経過での一時的な赤みと違うのは、硬さがあり、かゆみや痛みをやや伴うが特徴です。できた元の傷より大きく広がることはほぼありません。
ケロイド

-
ケガをした際には細い一本の傷だったものが、数か月で太くなり、元の傷を超えて周囲にしみ出すように広がったケロイドです。自然経過で治ることはほぼなく、痛みやかゆみの症状が強いのが特徴です。
巨大なケロイド

-
耳介軟骨にあけたピアスが化膿し、治っていく段階で元の傷の何倍もの大きさになったケロイドです。この写真のケロイド先端部分は血行が行き届きにくくなり、潰瘍化(ジクジク)しています。
真正ケロイドとケロイド体質 ~Dr.石原による解説~
「美容外科の手術を希望されている方から、よく聞かれるのが、『私はケロイド体質だと思うので、傷跡は残りませんか?』という質問です。どうしてケロイド体質だと思われているのか聞いてみると、以前のケガや、(美容外科以外の)手術の跡が、ケロイドになって残っているからとおっしゃいます。実際にそのような傷跡を診察させていただくと、大抵は、白くてやや広い瘢痕(成熟瘢痕)が残っていることが多く、それらはもちろんケロイドではありません。たまに傷跡が赤く盛り上がっている場合もありますが、それがすべてケロイドとは限らず、比較的治療がしやすい肥厚性瘢痕の場合がほとんどです。元の傷を超えて大きく、かゆみや痛みが強い、治りにくいなど、ケロイドの症状がしっかり当てはまるものを、真正のケロイドと言い、真正ケロイドになりやすい体質の方をケロイド体質と言います。本当のケロイド体質の方は実際にはかなり少ないので、まずは専門の医師に診断していただくのがいいと思います。」
様々な傷跡とその修正治療について
~タウン形成外科クリニック傷跡修正グループ・リーダー Dr.工藤による解説~
新しいケガ(外傷)をきれいに治す
切り傷、擦り傷などのケガ(外傷)を受けた後に、自身で消毒などの処置をした場合、医療機関を受診して消毒や薬の処方以外にガーゼ、包帯などで保存的に治療した場合、切り傷を医師が縫合した場合、などがあります。その後、傷の出血が止まる、表面のジュクジュクした傷が治って乾燥する、縫合後の抜糸が完了した、などの後に、いかに傷跡を目立たなく、きれいに消していくためには、その後のアフターケアによっても大きく違ってきます。
医療用の保護テープやシリコンジェルシートなどを用いて圧迫して保存的に治す方法、赤や茶色のしみのような色素沈着が主体であればビタミンC、漂白軟膏やレーザーなどを使用する方法があります。医師に適切なアドバイスを受けてください。
ケガ(外傷)の再縫合
思わぬ事故にあったり、ケガをした時に、ほんのわずかな傷だと思い、医療機関で治療を受けなかった場合などに、組織が修復されるときの健康な肉芽(にくげ)が形成されずに目立つ傷跡になっていくことがあります。
また、ケガをしてすぐに救急外来などで簡単な縫合を受けた場合も、後になって傷跡が目立つ場合があります。いずれも形成外科の技術でていねいに再縫合することで、きれいに目立たなくすることができます。
へこみ様の傷跡
へこみ様の傷跡が残るものとして、水ぼうそうの跡や、繰り返し炎症や感染を起こしたニキビ跡などがあり、ほくろをレーザーなどで除去した場合にもへこみ跡になることがあります。手軽な治療法としてヒアルロン酸の注射があり、一時的には浅くすることができますが、その後も繰り返していく必要があります。へこみ様の傷跡は、へこんだ部分を切除して丁寧に縫い合わせる手術を行います。
やけど跡
やけど(熱傷)は受傷した際の適切な初期治療が重要ですが、熱傷の程度(I度~III度)が強いと、ひきつれやケロイドなどの目立つ瘢痕となります。
自傷によるやけど(根性焼き)の場合は、やけど跡を取り除いて縫い合わせるなど、極力、自傷であることを目立たなくする方法を取ります。
リストカット跡
自傷行為によるリストカット跡は、社会生活を送るうえで大きな悩みとなる場合があります。傷跡を消し去ることは不可能ですので、いかにリストカットであるかをわからなくすることが重要です。そのためにはあえて傷の方向を変化させたり、植皮等を利用してやけどの跡のような形に置き換える方法などを行っております。
帝王切開後の傷跡修正 ~Dr.近藤による美容外科的治療~
「帝王切開後の傷跡の赤みや盛り上がりに悩まれている方、どうぞお気軽にご相談ください」
傷跡修正の特殊な手術法について
W形成術
主に顔にケガをした後にきちんと治療を受けなかった場合、簡単な縫合しか受けなかった場合などに、後になって目立つようになった傷跡をきれいにする手術法です。あえて傷跡をジグザクに切開して縫い合わせることで、ひきつれ予防と、傷跡が細かく分断されたように見えるために結果的に目立たなくなります。
W形成術の実際
【Before】
【After】
Z形成術
ケガした後に医療機関での縫合後に、周囲の皮膚のひきつれや盛り上がりを伴う傷跡が残った場合に適した手術法です。直線的な傷跡の1か所もしくは数か所にZの皮弁を入れ替えるように縫い合わせることで、ひきつれや盛り上がりを軽減し、W形成術と同様に傷跡が分断されたように見えるために、結果的に目立たなくなります。
Z形成術の実際
【Before】
【After】
傷跡修正手術
傷跡の部位、形、長さなどにより適切な切除手術(紡錘(ぼうすい)型切除、W形成術、Z形成術、各種皮弁法など)を選択します。
●傷跡切除手術
| 麻酔 |
局所麻酔 |
| 時間 |
30〜60分(手術内容による) |
| 抜糸 |
7〜10日(手術内容による) |
| 通院 |
1〜2回 |
ダウン タイム |
シャワー、洗髪 傷を濡らさなければ当日より可 |
リスクと 合併症 |
瘢痕、内出血、感染など |
| 費用 |
33,000~330,000円(範囲により異なる) 治療費用について詳しくはこちら
|
へこみ様の傷跡の治療
傷跡のへこみに対して、サブシジョンといって、医療用の針で皮下の癒着した組織を剥離してひきつれを解消します。
さらにサブシジョンでへこみを改善した皮下組織にヒアルロン酸を注入して盛り上げたり、やわらかく浅いへこみの傷跡であれば、サブシジョンを行わずにヒアルロン酸のみで比較的手軽に治療することもできます。
●サブシジョン治療
| 麻酔 |
局所麻酔 |
| 時間 |
5〜15分(治療内容による) |
| 抜糸 |
縫合をしないので抜糸はなし |
| 通院 |
1〜2回 |
ダウン タイム |
シャワー、洗髪 傷を濡らさなければ当日より可 |
リスクと 合併症 |
瘢痕、内出血、感染など |
| 費用 |
33,000~55,000円(範囲により異なる) 治療費用について詳しくはこちら
|
【Before】
【After】
●ヒアルロン酸注射
| 麻酔 |
麻酔不要もしくは表面麻酔クリーム(ご希望により) |
| 時間 |
5分 |
ダウン タイム |
洗顔、シャワー当日より可 |
リスクと 合併症 |
左右差、効果が弱い、しこり、内出血など |
| 費用 |
5,500円~11,000円 治療費用について詳しくはこちら
|
日本の厚生労働省で唯一正式承認されたヒアルロン酸であり、注入の痛みを軽減するために麻酔薬を混合したジュビダームビスタウルトラXCプラスを使用します。
ジュビダームビスタウルトラXCプラス
リストカット跡の除去手術(植皮)
特に、リストカット跡の箇所が多く、他の治療が困難な場合に、自身の移植皮膚で置き換える治療です。
●植皮手術
| 麻酔 |
局所麻酔(ときに鎮静麻酔併用) |
| 時間 |
30~60分(手術内容による) |
| 抜糸 |
7~10日(手術内容による) |
| 通院 |
2~3回 |
ダウン タイム |
植皮した部位は包帯などで固定します シャワー、洗髪 傷を濡らさなければ当日より可
|
リスクと 合併症 |
瘢痕、色素沈着、内出血、感染など |
| 費用 |
110,000~550,000円(範囲により異なる) 治療費用について詳しくはこちら
|
リストカット跡の除去手術(剥削法)
瘢痕を含めて周囲の皮膚の表面を削ることで、本来の傷跡を目立たなくする剥削(はくさく)法(削皮法、アブレージョンともいいます)を行う場合があります。
●剥削法(削皮法、アブレージョン)
| 麻酔 |
局所麻酔 |
| 時間 |
15〜30分(手術内容による) |
| 抜糸 |
縫合をしないので抜糸はなし |
| 通院 |
1〜2回 |
ダウン タイム |
シャワー、洗髪 傷を濡らさなければ当日より可
|
リスクと 合併症 |
瘢痕、内出血、感染など |
| 費用 |
33,000~330,000円(範囲により異なる) 治療費用について詳しくはこちら
|
【Before】
【After】
ダーマペンによる傷跡、リストカット跡の治療
傷跡やリストカット跡に対して、ダーマペンは皮膚本来の回復力、再生力を促して改善する治療です。
ケロイド治療
成熟瘢痕、肥厚性瘢痕や真正のケロイド治療は専門医による的確な治療法の選択が重要です。
●ケナコルト注射(ケロイド除去ステロイド注射)
| 時間 |
1〜2分(治療範囲による) |
| 通院 |
1か月に1回、2〜3回程度で改善する |
ダウン タイム |
補助的にテープによる圧迫療法を行う
ステロイドはごく少量のため、全身に対する影響は心配いりません
|
リスクと 合併症 |
効果が弱い、かぶれなど |
| 費用 |
5,500~22,000円(範囲により異なる) 治療費用について詳しくはこちら
|
●ケロイド除去手術
| 麻酔 |
局所麻酔 |
| 時間 |
15〜30分(手術内容による) |
| 抜糸 |
7〜10日(手術内容による) |
| 通院 |
1〜2回 |
ダウン タイム |
シャワー、洗髪 傷を濡らさなければ当日より可
補助的にテープによる圧迫療法を行う
|
リスクと 合併症 |
瘢痕、内出血、感染など |
| 費用 |
33,000~330,000円(範囲により異なる) 治療費用について詳しくはこちら
|
※他院による傷跡、ケロイドの修正術、再手術もお気軽にご相談下さい。
当院で使用する傷跡修正、ケロイド治療の薬剤・医療材料
専⾨医による診察、診断のうえ、傷跡修正、ケロイド治療に最も適切な薬や補助的な医療材料を使用します。
ケナコルト注射薬
ケナコルト(一般名トリアムシノロンアセトニド)注射薬は、肥厚性瘢痕やケロイドの盛り上がりを改善するだけでなく、かゆみや痛みの症状を抑えることもできます。
ケナコルト(ケロイド除去ステロイド注射)
標準的な治療費用 5,500~22,000円(範囲により異なる)
リスクと副作用 効果が弱い、かぶれなど
エクラープラスター
エクラープラスターは、外用副腎皮質ホルモン剤(デプロドンプロピオン酸エステル含有)で、肥厚性瘢痕やケロイド治療のための貼るだけタイプの薬剤です。
患部に合わせて切って使用するので、1枚で何回分かに分けて使用できます。
エクラープラスター(ケロイド予防テープ)
標準的な治療費用 1枚550円
リスクと副作用 効果が弱い、かぶれなど
シカケア
肥厚性瘢痕やケロイドの治療中や手術後に再発予防として補助的に使用します。
ご自宅で洗って何度でも繰り返し使用できます。
シカケア(ケロイド予防シリコンジェルシート)
標準的な治療費用 1枚16,500円
リスクと副作用 かゆみ、かぶれなど
傷跡、ケロイド治療についてよくいただく質問
患者さんからの質問に、石原先生、工藤先生がお答えしています。
- ケロイドは自然に治りますか
-
ケガをしてまだ1~2か月程度の一時的な赤い傷跡は自然経過で治っていく場合がほとんどで、肥厚性瘢痕の場合も数か月から1年程度でかなり改善していきます。数年経過してもまだ赤みや硬さがあり、痛みやかゆみも強い真正のケロイドの場合は、自然に治ることは難しく、何らかの治療が必要だと思います。(回答者 石原信浩先生)
閉じる
- ケロイド治療注射は痛いですか?
-
ケロイドや肥厚性瘢痕治療に用いるケナコルト注射は、懸濁(けんだく)液といって薬剤の細かな粒子が入った注射液のため、一般的な注射より注入時に痛みがあります。そのため、注射の際に局所麻酔薬を混ぜて使用するので、痛みについてはそれほど心配はいらないと思います。(回答者 石原信浩先生)
閉じる
- 赤い盛り上がりの傷跡にステロイドの注射を何回か受けたのですがあまり効果が見られません
-
赤く盛り上がった傷跡には肥厚性瘢痕とケロイドがあります。一般的にはケロイドのほうがステロイド(ケナコルト)注射反応が悪いと言われています。また年齢的にも若い方のほうが、治療が長引く傾向にあります。赤く盛り上がった傷跡は痛みやかゆみを伴うケースが多く、ステロイドの注射はこのような症状を緩和する目的で使用されます。過度の注射により傷跡の周囲の正常な皮膚が薄くなってしまっているケースがあります。どこを最終目標にするのかをきちんと相談し、治療を受けられることをお勧めします。(回答者 工藤勝秀先生)
閉じる
- 傷跡の修正手術を受けて、失敗してかえって目立つようになることはありませんか?
-
このような結果は最も避けなければいけないことだと考えます。どこまでなら治すことができるのか、またその場合どのようなリスクがあるのかなどを術前にきちんと説明し、十分に理解していただくことが大切だと考えます。もちろんすべての治療が計画通りうまくいくわけではありませんが、このような考え方で治療に臨めば、手術後にかえって悪化してしまうようなケースは非常にまれだと思います。(回答者 工藤勝秀先生)
閉じる
- 傷跡修正手術の後はテープを貼らなければいけませんか?
-
外科手術後に、ケロイド、肥厚性瘢痕や幅が広くて目立つ傷跡ができる原因には、傷跡が徐々に広がろうとする張力(テンション)が大きく影響しています。これを予防するには、テープで傷跡周囲の皮膚を安定させ、張力を最小限に抑えるため、大変有用なのでぜひ使用するようにお勧めしています。(回答者 石原信浩先生)
閉じる
- 根性焼きの傷跡を治すにはどの方法が一番いいですか?
-
手術がよいと考えます。
丸い形の瘢痕を切除して、一本の細い線状瘢痕に置き換えます。腕の場合はリストカットの傷跡と思われないように、仕上がりの傷の向きを工夫することも大切だと考えています。残念ながら傷をまったく消すことはできませんが、形を置き換えることでけがの傷あとのように見せることは可能です。(回答者 工藤勝秀先生)
閉じる
当院における傷痕修正・ケロイド治療の流れ
お電話・メールでのご予約
↓
ドクターとのカウンセリング
↓
お申込・治療(カウンセリング当日治療が可能)
治療時間、アフターケアなどについてはこちらへ
症例写真(傷跡修正、ケロイド治療)
症例
1
上くちびる傷跡修正
手術前
手術後
標準的な治療費用
88,000~110,000円(税込)
リスクと合併症
瘢痕、内出血、感染など
症例
1
上くちびる傷跡修正
54歳女性
【担当:石原先生】
DOCTOR’S COMMENT
「幼少時よりあるくちびるの傷跡ですが、年齢を重ねるとともにしわのように深くなってきたため形成を希望されました。口のまわりは形態的バランスも考慮しなければなりません。とてもうまくいったと思います」
症例
2
鼻孔縁の傷跡修正
手術前
手術後
標準的な治療費用
165,000~198,000円(税込)
リスクと合併症
瘢痕、内出血、感染など
症例
2
鼻孔縁の傷跡修正
52歳女性
DOCTOR’S COMMENT
「幼少期の怪我のあとです。縫わないで、そのまま傷を治したそうです。鼻先の軟骨までが断裂して、鼻孔縁が段違いになっていました。傷跡を切り取り、Zに切れ目を追加して、食い込み部分を伸ばしました。とてもきれいに修正できました。」
症例
3
耳ケロイド切除術
標準的な治療費用
187,000~220,000円(税込)
リスクと合併症
瘢痕、内出血、感染など
症例
3
耳ケロイド切除術
27歳女性
【担当:石原先生】
DOCTOR’S COMMENT
「耳軟骨ピアス後のちょっとした炎症をきっかけに、ケロイドがこれ程まで大きくなってしまうこともあります。こうなると内服薬やステロイド注射では効果は乏しく、治療法は切除手術しかありません。重要なポイントは3つあり、ケロイド切除後に耳が変形しないようなデザイン、表裏がある立体的な構造を考慮して丁寧に縫合をする、術後の再発防止に注意する、です。ご覧の通り、術後3か月で再発もなくきれいになっています 」
症例
4
左頬傷跡修正
標準的な治療費用
385,000~495,000円(税込)
リスクと合併症
瘢痕、内出血、感染など
症例
4
左頬傷跡修正
17歳女性
【担当:工藤先生】
DOCTOR’S COMMENT
「左頬部にほぼ直線状の深い瘢痕があります。手術にはW形成術という方法を用います。W形成術というのは、傷跡を含めてあえてジグザグに切開・縫合を行う方法です。手術直前の実際のデザインと手術後6ヶ月の写真をお見せします。この方法では傷跡をジグザグにすることで光の反射も手伝い、人の目に錯覚を起こします。その結果、傷跡がほとんど分からなくなるのです。この手術で大切なことは術前の正確なデザインと丁寧な縫合の技術です。」
症例
5
左頬傷跡修正
手術前
手術後
標準的な治療費用
176,000~198,000円(税込)
リスクと合併症
瘢痕、内出血、感染など
症例
5
左頬傷跡修正
22歳女性
【担当:工藤先生】
DOCTOR’S COMMENT
「左頬部に傷跡を認めます。以前にもHPやブログなどでご紹介しましたが、このようなケースではW形成術という方法が有効です。修正でも傷を切開・縫合しますので、傷がなくなるわけではありません。しかし、人の目の錯覚を利用し、傷を目立たなくすることが可能です。術直後はジグザグに縫合されているため、戸惑う方も多いですが、きちんと切開・縫合を行うと、結果として傷はかなり目立たなくなります。」
症例
6
眉間傷跡修正
手術前
手術後
標準的な治療費用
148,500~220,000円(税込)
リスクと合併症
瘢痕、内出血、感染など
症例
6
眉間傷跡修正
27歳女性
【担当:工藤先生】
DOCTOR’S COMMENT
「20代の女性です。数年前の外傷後の傷あとを目立ちにくくしたいと来院されました。ちょうど眉毛の間にほぼ一直線に線状瘢痕を認めます。数年経過しており、傷あとは白く、やわらかくなっております。この状態は成熟瘢痕といい、これ以上は変化しない状態です。
瘢痕をそのまま切除し、再縫合すると再び直線状の傷あととなり、改善効果が少ないと判断し、W形成術を行いました。まだ少し赤みがありますが、視覚的に傷がぼやけた状態になっております。写真は6カ月経過していますが、術後1年ぐらいまでの間に赤みはもっと引いてくると考えております。手術はデザインと丁寧な縫合技術に加え、術後のテーピング固定が重要です。」
症例
7
右頬ほくろ手術後傷跡修正
手術前
手術後
標準的な治療費用
148,500~220,000円(税込)
リスクと合併症
瘢痕、内出血、感染など
症例
7
右頬ほくろ手術後傷跡修正
26歳女性
【担当:工藤先生】
DOCTOR’S COMMENT
「右頬の傷跡修正相談で来院されました。10年ほど前に他院でほくろを切除したとのことです。改善の希望は以下の2点でした。
①法令線のあたりの白色瘢痕を目立たなくしたい。
②鼻翼基部(小鼻の付け根)の陥凹変形を改善したい。
線状瘢痕は法令線より位置・方向ともにずれていたため、術後の傷跡の方向に気をつけながら、瘢痕の切除を行いました。約6か月後の写真では、まだ少し傷の赤みがありますが、術後1年ぐらいまでにはほぼ落ち着くと思われます。傷跡修正ではどこまで改善できるのかを術前に十分話し合うことが大切だと考えています。」
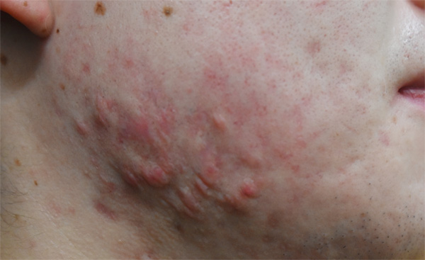
症例
8
ニキビ跡ケロイド・ケナコルト注射
手術前
手術後
標準的な治療費用
5,500~22,000円(税込)
リスクと合併症
効果が弱い、かぶれなど
症例
8
ニキビ跡ケロイド・ケナコルト注射
21歳男性
DOCTOR’S COMMENT
「ニキビの感染、炎症を繰り返していくうちにケロイドになってしまった場合に、ケナコルト注射が効果的です。合計3回の注射でここまで改善しました。」
ホームページよりもさらに症例も多く、
詳しく解説しています。
まずは私たちとのカウンセリングでじっくり話し合いませんか。