タウン形成外科クリニック
クリニック一覧 クリニック
一覧
タウン形成外科クリニック
電話受付時間 10:00 - 19:00(日祝 - 18:00)
目のまわりのしわ、たるみ取り手術 目のまわりのしわ、たるみ取り手術

目のまわりのしわ、
たるみ取り手術

術式一覧

目のまわりのしわ、たるみ取り手術

悩みのイメージ

まぶたの上や下のたるみ、しわは、とても年令を老けて見せたり、目つきが悪く見えるだけでなく、視野を妨げることもあります。
様々な治療法から、患者さんに希望をお聞きしながら最適な方法を選択します。

表ハムラ法とミッドフェイスリフトの併用~Dr.外薗よる解説~

Dr.外薗

「通常、表ハムラ法と呼ばれる手術は、眼球のクッションとしての役割を担う眼窩脂肪の切除を行わない、あるいは最小限の切除にして眼輪筋下に突出してしまった眼窩脂肪および眼窩隔膜を骨膜に扇状に固定することで下まぶたのふくらみ(たるみ)を改善させることを目的に行います。ただし、脂肪のボリュームが減りすぎてくぼんだ印象になってしまうことがあるため、追加で脂肪注入が必要となることがあります。
そこで、表ハムラ法にミッドフェイス(中顔面)リフト手術を同時に行うと、たるんだ頬の皮膚、脂肪層、筋肉を引き上げることで、厚みのある頬の皮下組織が下まぶたに充填され、下まぶたから頬部にかけての皮膚に張りが出て若々しくすることができます。
手術は表ハムラ法の同じ切開の範囲内で行えますから、傷が増えることはないのでご安心ください。」


ハムラ法とミッドフェイスリフトの併用~Dr.手塚よる解説~

Dr.手塚

「ミッドフェイスリフトとは年齢とともに下垂してきた中顔面を骨膜ごと上方に吊り上げることで若返りをはかる手術です。通常は表ハムラ手術と組み合わせて睫毛下切開、裏ハムラ手術の場合は経結膜切開から行います。
頬の再突出点が上がること、鼻唇溝やゴルゴラインが改善することで効果を発揮します。
ヒアルロン酸リフトと異なりボリュームを増やす手術ではありませんが、頬の組織を上方に引き上げるため自然な仕上がりとなります。
限られた視野から眼の下や頬にある神経を傷つけないように行う手術のため、高い技術力が必要な手術です。」


ロングパルスレーザーによる下まぶたのしわ、たるみ治療~Dr.立山よる解説~

Dr.立山

「目の下に明らかに分かるような中等度以上の皮膚のたるみやしわがある場合には外科的な手術によって皮膚の切除や引き上げが必要となることが多いですが、年齢的に比較的若かったり、皮膚のしわ、たるみがあまりない方、また手術をするにはまだ決断がつかず、まずは保存的な治療を希望される場合にはロングパルスによるレーザー治療をおすすめしています。
ロングパルスレーザーは一般的な色素異常を治療するレーザーに比べてパルス幅が長いことが特徴で、血管内のヘモグロビンを熱破壊し、さらにその熱が拡散して毛細血管に作用して血行不良を改善します。さらに、微小血管から周辺の真皮層へ熱が拡散することによって新たなコラーゲンやエラスチンの生成が亢進されます。
結果として、以前より皮膚組織に張りをだすことが可能となり、小じわや目の下のたるみの改善が期待できます。施術後は皮膚が少し赤くなる程度でダウンタイムも少ないことも特長です。」


目のまわりのしわ、たるみ取りの他院修正

他院による目のまわりのたるみ、しわ取り手術の失敗、修正術、再手術もお気軽にご相談下さい。他院の上まぶたで傷跡が残った、効果がない、左右差がある、不整ラインになってしまった、下まぶたの手術で傷跡が残った、外反して目が閉じなくなった、などのやりなおし、修正手術も行っております。



石原先生の他院修正手術に関する
ブログはこちら▶︎

目のまわりのしわ、たるみ取り手術についてよくいただく質問

患者さんからの質問に、石原先生がお答えしています。

上まぶたのたるみを埋没法で治せますか?
ある程度年齢を重ねた方の、上まぶたのたるみに対しては、埋没法では難しいと思われがちですが、若い方の場合と同様に、毎日、アイテープやのりなどでたるみを持ち上げる様に二重まぶたを作っている方で、それらを外した後も数時間から半日程度、二重のラインが残り、まぶたが持ち上がっているのであれば、埋没法でも十分対応できると思います。(回答者 石原信浩先生)
閉じる
上まぶたのたるみの改善には上まぶた切開と眉毛下切開のどちらがふさわしいですか?
上まぶたのたるみの程度が強く、元の二重まぶたが隠れてしまっていたり、視野が妨げられる程の場合などは、上まぶたそのものの皮膚の切除が必要となります。また、きれいに二重まぶたを作成したいと考えている方も同様に、二重固定のために、上まぶたの切開となります。一方で、上まぶたの印象を大きく変えたくない方や、まぶたに厚みと重みのある方の場合は、眉毛下切開がより有効な場合があります。(回答者 石原信浩先生)
閉じる
上まぶたのたるみ手術は何度でも受けられますか?
上まぶたのたるみを手術で取り除いても、数年が経過すればやはり年齢とともにたるんできてしまうのは残念ながら避けられません。年齢によっても異なりますが、上まぶたの皮膚の余り具合、眉毛と目の距離も考慮しつつ、おおよそ3~5年程度で再度、手術は可能で、人によっては3~4回ほど受けられる方もいます。(回答者 石原信浩先生)
閉じる
下まぶたの脱脂だけで、たるみは改善しますか?
皮膚を切らない下まぶたの結膜側からの脱脂は、Baggy eye(目袋)といって、下まぶたの脂肪がふくらんでいる状態の方に適している手術です。ただし、この手術はたるみを改善する手術ではないので、たるみやしわがすでに目立っている方の場合は、脱脂をすることでかえってそれらが目立ってしまうことがあるので、適応は慎重に決定し、必要に応じて切開による下まぶたの除皺術を検討してみてください。(回答者 石原信浩先生)
閉じる
下まぶたのたるみ手術で外反が起きたりしませんか?
下まぶたのたるみ手術(下眼瞼除皺術)で、一番起こしてはいけない合併症が、皮膚の取りすぎによる外反や兎眼(とがん)です。起きてしまった場合は、不足分の皮膚を補う植皮術による修正が必要になります。なお、たるみ取り手術後に、腫れや一時的な麻痺などで外反状態が起こることがあり、次第に改善することがほとんどですので、あわてずに、できれば半年くらい経過を見ていただくといいと思います。(回答者 石原信浩先生)
閉じる


目のまわりのしわ、たるみ取り手術の流れ

石原理事長オペ写真

お電話・メールでのご予約

ドクターとのカウンセリング

お申込・手術(カウンセリング当日手術が可能)

治療時間、抜糸、アフターケアなどについてはこちら

目のまわりのしわ、たるみ取り手術の学術実績(Dr.石原)

■ 主な学会発表(日本美容外科学会)
 「上眼瞼陥凹のみられる重瞼手術における工夫」
 「術後下眼瞼外反に対する植皮術による修正」
 「眼周囲の術後を元に戻す他院修正」(JSASシンポジウム)


■ 主な医学書
 「下眼瞼の修正手術」(PEPARS「下眼瞼の美容外科」)

Dr.石原による医学論文
「下眼瞼形成術後合併症に対する植皮による修正術」

「下眼瞼除皺術や下眼瞼下制術などを他院において受けた術後に下眼瞼後退や外反などの合併症を生じた症例に、全層植皮術による修正手術を行ってきた。採皮部は全例で上眼瞼を用いた。過去4年間で43例の植皮術を行い、全例で下眼瞼外反は改善した。2例で植皮部のごく一部の壊死が認められたが、ほとんど瘢痕を残さずに回復した。色調のマッチングの違和感や周囲皮膚との段差などが数例にみられたがごく軽度であり、患者の満足度は総じて高かった。」
(日本美容外科学会誌第52巻第1・2号2016年9月より抜粋)


日本美容外科学会誌

Dr.石原による医学書 PEPARS 下眼瞼の美容外科「下眼瞼の修正手術」

「下眼瞼除皺術や下眼瞼下制術(いわゆるグラマラスライン形成)などの術後合併症である外反、三白眼や下眼瞼後退などの修正手術を解説する。下眼瞼除皺術においては、皮膚の過剰切除が原因であることが多く、全層植皮術が適応となる。皮膚切除を伴わない下眼瞼下制術においては、癒着剥離解除でも改善することもあるが、若年層で皮膚切除を伴った症例に対しては、やはり植皮術が必要となることが多い。採皮部は原則として上眼瞼を用いるが、重瞼切開術後などで余剰皮膚が足りないと思われる場合は耳介後部より採皮する。植皮術による修正では、ほぼ全例で改善が見られるため、患者の満足度は総じて高いが、色調のマッチングの違和感や周囲皮膚とのわずかな段差などがみられることもあるため、デメリットを受け入れてもらうためのインフォームドコンセントは重要である。」
(全日本病院出版会PEPARS No.213 2024年9月「下眼瞼の美容外科」より抜粋)


PEPARS下眼瞼の美容外科

症例写真(目のまわりのしわ、たるみ取り手術)

症例 1  上まぶたのたるみ手術(埋没法・3点止め)
before_after before_after
症例1 上まぶたのたるみ手術(埋没法・3点止め) 手術前

手術前

症例1 上まぶたのたるみ手術(埋没法・3点止め) 手術後

手術後

標準的な治療費用 
99,000~132,000円(税込)
リスクと合併症 
二重ラインの消失、内出血、感染など

症例 1  上まぶたのたるみ手術(埋没法・3点止め)  70歳女性 

杉江先生、石原理事長、工藤先生 写真
DOCTOR’S COMMENT  「上まぶたのたるみが気になり、二重まぶたにもしたいというご希望の患者さんですが、切開することにどうしても抵抗があるということで埋没法を行いました。適応を選べば、ご年配の方でも埋没法は可能です。」

症例 2  上まぶたのたるみ手術+眼瞼下垂
before_after before_after
症例2 上まぶたのたるみ手術+眼瞼下垂 手術前

手術前

症例2 上まぶたのたるみ手術+眼瞼下垂 手術後

手術後

標準的な治療費用 
550,000円(税込)
リスクと合併症 
左右差、内出血、感染、瘢痕など

症例 2  上まぶたのたるみ手術+眼瞼下垂  38歳女性  【担当:石原先生】

石原先生 写真
DOCTOR’S COMMENT  「ご本人いわく生まれつき垂れ目のようだったのですが、最近その程度が強くなってきたと言います。確かに目尻が下がった形で、さらに年齢的にたるみの要素が加わってきていました。切開法でたるみをとり、二重のラインを作る際に眼瞼挙筋を前転して目を大きく見せることで、パッチリさせることができました。」

症例 3  上まぶたのたるみ手術
before_after before_after
症例3 上まぶたのたるみ手術 手術前

手術前

症例3 上まぶたのたるみ手術 手術後

手術後

標準的な治療費用 
330,000円(税込)
リスクと合併症 
左右差、内出血、感染、瘢痕など

症例 3  上まぶたのたるみ手術  54歳女性  【担当:石原先生】

石原先生 写真
DOCTOR’S COMMENT  「上まぶたのたるみとりと二重まぶたを希望されていましたが、 たるんだ皮膚の下に元々の二重が隠れていたので無理に新たな二重を作成せずに、たるみを多めにとることで自然に広めの二重になるようにデザインしました。たるみもすっきりとして十分にきれいだと思います。」

症例 4  上まぶたのたるみ・二重まぶた手術
before_after before_after
症例4 上まぶたのたるみ・二重まぶた手術 手術前

手術前

症例4 上まぶたのたるみ・二重まぶた手術 手術後

手術後

標準的な治療費用 
330,000円(税込)
リスクと合併症 
左右差、内出血、感染、瘢痕など

症例 4  上まぶたのたるみ・二重まぶた手術  64歳女性  【担当:石原先生】

石原先生 写真
DOCTOR’S COMMENT  「上まぶたのたるみとりと二重まぶたを希望されており、たるみの程度が強いため、術前のシミュレーションとデザインを慎重に行い、ご本人の希望通りにすることができました。」

症例 5  上まぶたのたるみ手術
before_after before_after
症例5 上まぶたのたるみ手術 手術前

手術前

症例5 上まぶたのたるみ手術 手術後

手術後

標準的な治療費用 
330,000円(税込)
リスクと合併症 
左右差、内出血、感染、瘢痕など

症例 5  上まぶたのたるみ手術  40歳女性  【担当:石原先生】

石原先生 写真
DOCTOR’S COMMENT  「上まぶたのたるみ、重さが気になるとのことですが、二重まぶたは希望されず、大きな変化は求めずにたるみをなくしたいとことでした。控え目のたるみ切除だけでも印象が若々しくなりました。」

症例 6  上まぶたのたるみ手術
before_after before_after
症例6 上まぶたのたるみ手術 手術前

手術前

症例6 上まぶたのたるみ手術 手術後

手術後

標準的な治療費用 
330,000円(税込)
リスクと合併症 
左右差、内出血、感染、瘢痕など

症例 6  上まぶたのたるみ手術  56歳女性  【担当:石原先生】

石原先生 写真
DOCTOR’S COMMENT  「上まぶたのたるみ取りの手術は、たるみがなくなるだけでもすっきりして、元々二重まぶたの方はラインが出てくるので、無理して新しい二重まぶたを作る必要がないことが多いのです。無理して新しい二重を作ると不自然な感じになってしまうので、手術前に患者さんのご希望を十分に聞くとともにまぶたの状態を正確に診断することがとても重要です。」

症例 7  上まぶたのたるみ・二重まぶた手術
before_after before_after
症例7 上まぶたのたるみ・二重まぶた手術 手術前

手術前

症例7 上まぶたのたるみ・二重まぶた手術 手術後

手術後

標準的な治療費用 
330,000円(税込)
リスクと合併症 
左右差、内出血、感染、瘢痕など

症例 7  上まぶたのたるみ・二重まぶた手術  53歳女性 

杉江先生、石原理事長、工藤先生 写真
DOCTOR’S COMMENT  「上まぶたのたるみ取りと同時に二重まぶたを作成しました。控えめにしましたが、きつそうな眼付が優しくなりました。」

症例 8  上まぶたのたるみ手術(眉毛下切開)
before_after before_after
症例8 上まぶたのたるみ手術(眉毛下切開) 手術前

手術前

症例8 上まぶたのたるみ手術(眉毛下切開) 手術前デザイン

手術前
デザイン

症例8 上まぶたのたるみ手術(眉毛下切開) 手術後

手術後

標準的な治療費用 
330,000円(税込)
リスクと合併症 
左右差、内出血、感染、瘢痕など

症例 8  上まぶたのたるみ手術(眉毛下切開)  58歳女性  【担当:工藤先生】

工藤先生 写真
DOCTOR’S COMMENT  「上眼瞼のたるみを気にしている患者さんです。上眼瞼の外側が下がってきていますが、眼瞼下垂ではないので、単純に余った皮膚を切除するのみで改善が可能です。この方の場合は、眉毛の下で皮膚を切除して引き上げる方法が適していると考えました。利点は、眉毛下の分厚い皮膚を切除して、しなやかな皮膚を残すため、すっきりとしたまぶたの形態が保てることです。眉毛の下の傷は丁寧な縫合によりほとんど目立たなくすることが可能です。このように、眼瞼下垂を認めない皮膚のたるみでは眉毛下余剰皮膚切除という選択もあります。」

症例 9  上まぶたのくぼみ手術(脂肪移植)
before_after before_after
症例9 上まぶたのくぼみ手術(脂肪移植) 手術前

手術前

症例9 上まぶたのくぼみ手術(脂肪移植) 手術後

手術後

症例9 上まぶたのくぼみ手術(脂肪移植) 手術前

手術前

症例9 上まぶたのくぼみ手術(脂肪移植) 手術後

手術後

標準的な治療費用 
330,000円(税込)
リスクと合併症 
左右差、しこり、内出血、感染など

症例 9  上まぶたのくぼみ手術(脂肪移植)  60歳女性  【担当:工藤先生】

工藤先生 写真
DOCTOR’S COMMENT  「両側上眼瞼の強い陥凹(くぼみ)のある方です。今ご本人の希望もあり、真皮脂肪移植を行いました。重瞼ラインの切開から大きく剥離し、上腕の内側より採取した真皮脂肪を同部位に移植しました。術後6か月で、目のくぼみがよく改善しています。移植組織の萎縮も落ち着いておりこれで完成です。この手術はダウンタイムがやや長めですが、その分改善効果も高いです。移植組織は多少萎縮するので少し大きめに入れることがポイントです。」

症例 10  上・下まぶたのたるみ手術
before_after before_after
症例10 上・下まぶたのたるみ手術 手術前

手術前

症例10 上・下まぶたのたるみ手術 手術後

手術後

標準的な治療費用 
660,000円(税込)
リスクと合併症 
左右差、外反、内出血、感染、瘢痕など

症例 10  上・下まぶたのたるみ手術  60歳女性  【担当:石原先生】

石原先生 写真
DOCTOR’S COMMENT  「上まぶた・下まぶたのたるみが共に気になるということで、同時に手術を行いました。目元がパッチリとして若々しさを取り戻せたと大満足との事です。」

症例 11  上・下まぶたのたるみ手術
before_after before_after
症例11 上・下まぶたのたるみ手術 手術前

手術前

症例11 上・下まぶたのたるみ手術 手術後

手術後

標準的な治療費用 
660,000円(税込)
リスクと合併症 
左右差、外反、内出血、感染、瘢痕など

症例 11  上・下まぶたのたるみ手術  50歳女性 

杉江先生、石原理事長、工藤先生 写真
DOCTOR’S COMMENT  「上下眼瞼の若返りを希望して来院され、眼窩脂肪の余剰とたるみが主体と診断しました。上眼瞼は幅の狭い二重を作るべくたるみ取り、脱脂を施行し、下眼瞼は3房の眼窩脂肪をそれぞれバランスよく摘除し眼輪筋を外眼角靭帯に固定して余剰皮膚、眼輪筋を切除しています。術後、瘢痕は目立たずたるみ、ふくらみは消失し経過は良好です。」

症例 12  下まぶたのたるみ手術
before_after before_after
症例12 下まぶたのたるみ手術 手術前

手術前

症例12 下まぶたのたるみ手術 手術後

手術後

標準的な治療費用 
330,000円(税込)
リスクと合併症 
左右差、外反、内出血、感染、瘢痕など

症例 12  下まぶたのたるみ手術  53歳女性  【担当:石原先生】

石原先生 写真
DOCTOR’S COMMENT  「下まぶたのたるみがあり、斜めに走る大きなしわが目立ちます。皮膚とともに眼輪筋もきちんと引き上げることで、たるみとしわが同時に解消しました。」

症例 13  下まぶたのたるみ⼿術(表ハムラ法)
before_after before_after
症例13 下まぶたのたるみ手術 手術前

手術前

症例13 下まぶたのたるみ手術 手術後

手術後

標準的な治療費用 
385,000円(税込)
リスクと合併症 
左右差、外反、内出血、感染、瘢痕など

症例 13  下まぶたのたるみ⼿術(表ハムラ法)  52歳女性  【担当:石原先生】

石原先生 写真
DOCTOR’S COMMENT  「下まぶたの⽪膚のたるみがあり、さらにその下にへこんで影のように⾒える部分があります。⽪膚と筋⾁を同時に引き上げると同時に、眼窩脂肪を引き下げてへこみをなくすことでここまで若々しくなります。」

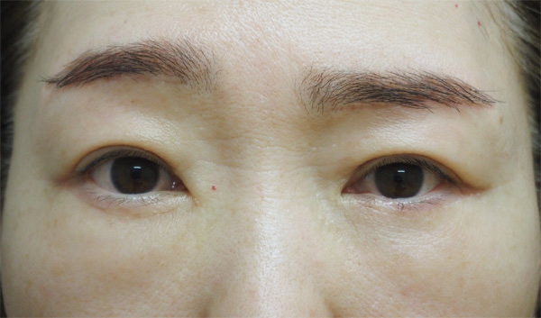
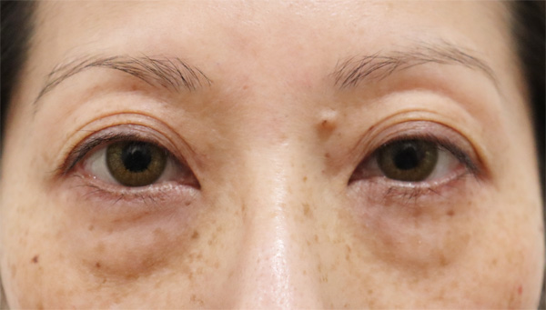
症例 14  下まぶたのたるみ手術
before_after before_after
症例14 下まぶたのたるみ手術 手術前

手術前

症例14 下まぶたのたるみ手術 手術後

手術後

標準的な治療費用 
330,000円(税込)
リスクと合併症 
左右差、外反、内出血、感染、瘢痕など

症例 14  下まぶたのたるみ手術  45歳女性 

杉江先生、石原理事長、工藤先生 写真
DOCTOR’S COMMENT  「下眼瞼の弛みと眼窩脂肪によるbuggy eyelidの症例です。手術直前に下眼瞼にヒアルロン酸局注を受けていました。元々、眼窩脂肪により膨らんでいるところにヒアルロン酸を注入した為、返って膨らみが強くなり膨瘤範囲も広がりました。眼窩脂肪の除去と弛みの改善目的の定型的な下眼瞼弛み取りを行いました。下眼瞼縁切開より余剰眼窩脂肪を切除し、眼輪筋は多房性の注入異物による混濁、肥厚が見られましたので可及的に除去しました。眼輪筋を外眼角靱帯の固定し下眼瞼の緊張を再建した後、余剰皮膚、眼輪筋を切除することで、下眼瞼の膨らみは消失し張りもでて良好です。眼瞼部への安易なフィラー注入療法は避けるべきと思います。」

症例 15  下まぶたのたるみ手術
before_after before_after
症例15 下まぶたのたるみ手術 手術前

手術前

症例15 下まぶたのたるみ手術 手術後

手術後

標準的な治療費用 
330,000円(税込)
リスクと合併症 
左右差、外反、内出血、感染、瘢痕など

症例 15  下まぶたのたるみ手術  63歳女性  【担当:石原先生】

石原先生 写真
DOCTOR’S COMMENT  「下まぶたのふくらみ(たるみ)がかなり目立ちます。皮膚とともにたるんだ眼輪筋という筋肉を持ち上げ、余分な脂肪を適度に取り除くことでかなりすっきりとします。」

症例 16  下まぶたのたるみ手術
before_after before_after
症例16 下まぶたのたるみ手術 手術前

手術前

症例16 下まぶたのたるみ手術 手術後

手術後

標準的な治療費用 
330,000円(税込)
リスクと合併症 
左右差、外反、内出血、感染、瘢痕など

症例 16  下まぶたのたるみ手術  50歳女性  【担当:朝日先生】

朝日先生 写真
DOCTOR’S COMMENT  「下眼瞼のアンチエイジング手術です。目袋のふくらみ、皮膚や筋肉の弛み、いずれも改善するように手術を行いました。比較的腫れによるダウンタイムは長くかかる治療ではありますが、抜群の若返り効果があります。目の開きも少し良くなる場合もあります。」

症例 17  下まぶたのたるみ⼿術(表ハムラ法)
before_after before_after
症例17 下まぶたのたるみ⼿術(表ハムラ法) 手術前

手術前

症例17 下まぶたのたるみ⼿術(表ハムラ法) 手術後

手術後

標準的な治療費用 
385,000円(税込)
リスクと合併症 
左右差、外反、内出血、感染、瘢痕など

症例 17  下まぶたのたるみ⼿術(表ハムラ法)  54歳女性  【担当:工藤先生】

工藤先生 写真
DOCTOR’S COMMENT  「下まぶたにふくらみがあり、その下にへこんだみぞの部分があります。ふくらみの原因は脂肪ですが、単純に取り除いてしまうと下まぶた全体がくぼんだ印象となってしまいます。そのためふくらんだ部分の脂肪をへこんだ部分に移動させることで全体的になだらかに状態にしました。全体的に凹凸がなくなり、若々しい印象となりました。」

タウン形成外科クリニック

お得情報はこちら

クリニック一覧

タウン形成外科クリニック CM

totop