術式一覧
眼瞼下垂とは
眼瞼下垂とは、「がんけんかすい」と読み、上まぶたを持ち上げる筋肉が、加齢やハードコンタクトレンズ長期使用などが原因で機能が弱まり、まぶたが開きにくくなって、眠そうなまぶたに見える状態です。まぶたが十分に開かずに、特に黒目(瞳孔)にまぶたがかかっていると、視野が制限され、無意識に眉毛を挙げてまぶたを開こうとする結果、頭痛、肩こり、眼精疲労などの症状が出る場合があります。美容外科、形成外科では、主に見た目を治す美容目的で手術が行われます。
他にも先天性によるものや、稀ですが神経疾患や自己免疫疾患による眼瞼下垂もあります。
眼瞼下垂手術に準じた目を大きく見せる手術
黒目部分(瞳孔)にまぶたがかかっていて視野が制限されているなど、明らかな眼瞼下垂とは診断されないものの、特に一重まぶたの皮膚がまつ毛の生え際にかぶっているタイプの方で、二重まぶたを希望される場合に、眼瞼下垂に準じた手術を行うことで、より目をぱっちりさせて目を大きく見せることができる場合があります。
眼瞼下垂のセルフチェック~Dr.加曾利による解説~
「上まぶたを持ち上げる筋肉である眼瞼挙筋(がんけんきょきん)の補助機能を持つ前頭筋(ぜんとうきん)の動きを抑えることで眼瞼挙筋だけの動きを見ることができます。
まず下の方を見てから両方の眉毛を上から手でしっかり抑えて、まぶたをゆっくり開けようとしてみてください。その時に前の方が見えないということであれば、眼瞼挙筋の力が弱いということで、眼瞼下垂の状態です。」
眼瞼下垂、目を大きく見せる手術
眼瞼下垂の基本となる手術法は挙筋腱膜前転術といって、眼瞼挙筋腱膜と瞼板を縫い合わせることで、まぶたが容易に持ち上げやすくなります。
また、先天的な眼瞼下垂、交通事故などの外傷による眼瞼下垂など重症度の高い場合は筋膜移植術などを行う場合があります。
「切らない眼瞼下垂はお勧めしません」
Dr.石原信浩による眼瞼下垂のアドバイス
切らない眼瞼下垂手術として結膜側から糸を埋没させて行う手術法もありますが、医学的に効果が長期持続するかどうか不明な部分があるため、当院ではお勧めしておりません。
| 麻酔 |
局所麻酔 |
| 時間 |
45~90分 |
| 抜糸 |
5日 |
| 通院 |
1~2回 |
術後の 腫れ |
5~7日 |
ダウン タイム |
シャワー、洗髪 当日より可 |
リスクと 合併症 |
左右差、内出血、感染など |
| 費用 |
440,000~715,000円 治療費用について詳しくはこちら |
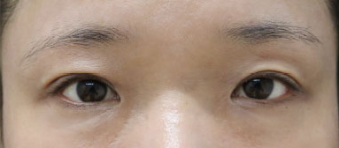
【Before】
軽度〜中等度眼瞼下垂
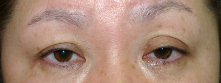
【Before】
中等〜強度眼瞼下垂
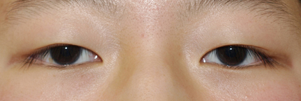
【After】
先天性眼瞼下垂の手術について〜Dr.加曾利による解説〜
「上まぶたを開けるという動作は、動眼神経による命令と、それを受ける眼瞼挙筋の働きによって成り立っています。そのどちらかに不具合があった場合、いわゆる眼瞼下垂といい、タイプは大きく二つに分かれます。
① 先天性眼瞼下垂・・・生まれながらにあるもの
② 後天性眼瞼下垂・・・成人以降におこったもの
先天性眼瞼下垂は、眼瞼挙筋自体の機能が問題のことが多いので、後天性眼瞼下垂のように、眼瞼挙筋の機能がある程度以上保たれている眼瞼挙筋を少し短くして機能改善を得るという手術法(眼瞼挙筋短縮、眼瞼挙筋腱膜前転など)で治すのは難しく、眼瞼挙筋につながっている瞼板という固い組織と上まぶたを持ち上げる補助機能を持つ前頭筋を何らかの形で連結することで対処することになります。この手術で使用する連結組織には、太ももの筋肉表面にある大腿筋膜やこめかみの中の側頭部の筋膜を一部を採取して使うことが一般です。」
眼瞼下垂の診断と手術を受ける際の注意点~Dr.石原による解説~
「眼瞼下垂かどうかは、まぶたが下がって瞳孔にかかっている場合などは、明らかに眠そうな目の状態になっているのでわかりやすいですが、無意識に眉毛を上げることで眼瞼下垂が隠されてわかりにくい場合や、片目だけの眼瞼下垂の診断で手術を受けたら、下垂ではなかったと思われたもう片側のまぶたが少し下がってしまうこと(ヘリングの法則と言います)があるので、手術前にその点も見極める必要があります。眼瞼下垂の診断と手術の適応は意外と難しく、まずは経験が豊富な専門医の診察を受けることが大切です。
また、一重まぶたの方が二重手術を希望する際に、他院でのカウンセリング時に眼瞼下垂の手術が必要だと言われたが本当に必要なのかどうかとセカンドオピニオンを求めてくることがあります。たしかに、一重まぶたの方に眼瞼下垂に準じた手術を行うことで、より目をぱっちりさせて目を大きく見せることができますが、適応は慎重に行い、適切な手術を行わないと、過剰に開眼(開瞼)した、いわゆるびっくり目になってしまうことがあるので、注意が必要です。一重まぶたの方に眼瞼下垂手術を行わなくても、十分に目をぱっちりさせるやり方はあります。専門医にご相談ください。」
眠そうに見えるまぶたに、眼瞼下垂手術を行わない二重手術の写真~Dr.石原の症例~
手術前
手術後
標準的な治療費用
330,000~550,000円(税込)
リスクと合併症
左右差、内出血、感染、瘢痕など
DOCTOR’S COMMENT
「他院で、二重の切開法と同時に眼瞼下垂の手術を受けられたとのことです。切開法だったにもかかわらずほとんど二重になっていません。さらに眼瞼下垂の手術の効果も見られていません。修正手術のご希望は自然な限りなるべくパッチリしたいということですが、そもそもこの方には眼瞼下垂の手術(挙筋腱膜前転)は必要ないと診断しました。皮膚のたるみを少し切除し、下方の皮膚をたくし上げて二重をきちんと作成することで十分パッチリした二重まぶたになりました。」
片側だけにみえる眼瞼下垂に対して、正しく両目の眼瞼下垂手術を行った写真~Dr.石原の症例~
手術前
手術後
標準的な治療費用
440,000~660,000円(税込)
リスクと合併症
左右差、内出血、感染、瘢痕など
DOCTOR’S COMMENT
「左目が眠そうに見えるということで、手術を希望された方です。左側の眼瞼下垂の程度が強いため、眉を無意識に持ち上げています。一見すると右側は正常のようにも見えますが、やはり下垂があります。この方に、左目だけの手術を行うと、結果的に右の下垂が目立つようになってしまい、後になってさらに追加の手術が必要になると診断し、両側ともにきちんと挙筋腱膜前転手術を行い、とてもきれいに左右が整えることができました。」
眼瞼下垂の他院修正
当院では、石原先生、加曾利先生を中心に、他院による眼瞼下垂の修正術、再手術の診療を専門的に行っております。
他院で眼瞼下垂手術を受けられ、効果が弱かった・なかった、再発した、左右差がある、まぶたの開きすぎ、ラインがゆがんでいる、不自然な二重になった、などの様々な眼瞼下垂後のやりなおし、修正手術についてご相談ください。
眼瞼下垂についてよくいただく質問
患者さんからの質問に、石原先生がお答えしています。
- 眼瞼下垂は自力で治ることはありませんか?
-
眼瞼下垂で先天的なものは、目を開ける(上まぶたを持ち上げる)ための神経、筋肉の機能不全が原因のため、自力で自然に治ることはありません。また、眼瞼下垂の原因の多くを占める加齢による眼瞼下垂についても、年齢とともに進行することはあっても、改善することは望めないため、手術が必要になります。(回答者 石原信浩先生)
閉じる
- 眼瞼下垂手術を切らずに埋没法で行う手術は効果がありますか?
-
一重まぶたでまぶたの開きがあまり良くないが、正式な診断上は眼瞼下垂とはいえない程度の場合は、通常の二重の埋没法でも、二重になると同時に目の開きがよくなることは十分にあります。ただし、瞳孔(黒目の中心部分)にまぶたが被っている真の眼瞼下垂の場合は、二重の埋没法や粘膜側から眼瞼挙筋に糸をかける方法(いわゆる切らない眼瞼手術)では、下垂を改善させることはかなり難しいと思います。(回答者 石原信浩先生)
閉じる
- 片目の眼瞼下垂の手術の後に、もう片側も手術を行う必要があると聞いたのですが?
-
片目だけの眼瞼下垂の診断で手術を受けた後に、下垂ではなかったと思われていたもう片側のまぶたが少し下がってしまうことがあります。約1割の方に起きるこの現象は、片側の眼瞼下垂が治ったために、反対側のまぶたに対して、脳が、「もう頑張って持ち上げなくていい」という指令を出すことで起きるとされています。ただし、経過とともに左右の開き具合のバランスが取れてくることも多いため、反対側の手術は慌てずに経過を見てから検討するとよいでしょう。(回答者 石原信浩先生)
閉じる
- 眼瞼下垂手術のダウンタイムはどのくらいですか?
-
眼瞼下垂の手術は切開法で行い、さらに眼瞼挙筋の短縮や腱膜の縫合の調整を手術中に何度か繰り返して行うため、通常の二重まぶたの切開法よりダウンタイムは長くなり、10日から2週間程度は見ておいた方がいいかもしれません。さらに、手術当初は、やや過矯正気味にまぶたが持ち上がっているため、ドライアイの症状がしばらく続く場合もありますが、自然経過で治るので心配はいりません。(回答者 石原信浩先生)
閉じる
- 二重まぶた手術で、目をより大きく見せたい場合に、同時に眼瞼下垂も行った方がいいのですか?
-
日本人の約60%は一重まぶたであり、二重まぶたの人に比べると、目の開きは確かに悪く、まつ毛に皮膚が被っている方も少なくありませんが、眼瞼下垂の正式な手術が必要な場合は限られています。埋没法であっても切開法であっても、適切な二重まぶた手術をすれば目の開きが十分によくなることが多いので、目を大きく見せたいという理由だけで眼瞼下垂手術を行うことは慎重に検討しましょう。(回答者 石原信浩先生)
閉じる
眼瞼下垂手術の流れ
お電話・メールでのご予約
↓
ドクターとのカウンセリング
↓
お申込・手術
(カウンセリング当日手術が可能)
治療時間、抜糸、アフターケアなどについてはこちらへ
症例写真(眼瞼下垂)
症例
1
二重まぶた(切開法)・眼瞼下垂(両側)
手術前
手術後
標準的な治療費用
440,000円(税込)
リスクと合併症
左右差、内出血、感染、瘢痕など
症例
1
二重まぶた(切開法)・眼瞼下垂(両側)
16歳女性
【担当:石原先生】
DOCTOR’S COMMENT
「二重まぶたを希望されている方で眼瞼下垂があります。眼瞼下垂の手術を行うとまぶたが以前よりも開くために二重の幅は狭く見えるので、希望の二重まぶたの幅について、術前のカウンセリングとシミュレーションがとても重要です。」
症例
2
眼瞼下垂(両側)
手術前
手術後
標準的な治療費用
440,000円(税込)
リスクと合併症
左右差、内出血、感染、瘢痕など
症例
2
眼瞼下垂(両側)
58歳女性
DOCTOR’S COMMENT
「眼瞼下垂の原因は、アトピーや花粉症などでまぶたをこする癖によるもの、ハードコンタクトを長期間の使用による習慣性、加齢によるものなどがあげられます。治療は、まぶたを持ち上げる上眼瞼挙筋腱膜を短縮することで開瞼する機能を改善させます。ちょうど、伸びきってしまったゴムを短く縫い縮めることで張力を強くするイメージです。この手術の難しさは以下の点です。「開きすぎてしまってもおかしい」、「左右対称に合わせるのが難しい」「皮膚の余りなどの個人差の調整」などです。まぶたは顔の重要な部分であり、機能だけでなく、美容の面でも満足いく結果が求められます。個々の患者さんの状態を把握して、デザインを行うことが重要です。」
症例
3
眼瞼下垂(左)
手術前
手術後
標準的な治療費用
264,000円(税込)
リスクと合併症
左右差、内出血、感染、瘢痕など
症例
3
眼瞼下垂(左)
25歳女性
【担当:石原先生】
DOCTOR’S COMMENT
「軽度ですが先天性眼瞼下垂です。ご本人は認識がなく、右に比べて少し眠そうな目というくらいでもし治せるのであれば、くらいに考えていたそうですが、眼瞼下垂を指摘して差し上げると治療を希望されました。挙筋前転術できれいにすることができました。」
症例
4
眼瞼下垂(右)
手術前
手術後
標準的な治療費用
264,000円(税込)
リスクと合併症
左右差、内出血、感染、瘢痕など
症例
4
眼瞼下垂(右)
21歳男性
【担当:石原先生】
DOCTOR’S COMMENT
「眼瞼下垂は上まぶた十分に開いていない状態を言いますが、治療は弱い筋肉を糸で縛ってあげることでまぶたを持ち上げやすくしたり、伸びきった筋肉を短く縫い縮めたりします。 また、埋没法では眼瞼下垂は治せません。この患者さんは20代の眼瞼下垂(右のみ)で生れつきであったそうですが、きれいに治すことができました。」
症例
5
眼瞼下垂(右)
手術前
手術後
標準的な治療費用
264,000円(税込)
リスクと合併症
左右差、内出血、感染、瘢痕など
症例
5
眼瞼下垂(右)
19歳男性
【担当:石原先生】
DOCTOR’S COMMENT
「やはり生れつきの右側の眼瞼下垂ですが、幼い頃に一度、公立病院で手術受け、これ以上は無理だと言われたそうです。挙筋機能は十分ありと診断し、挙筋短縮法でここまで改善しました。ご本人は勿論、ご両親にも大変感謝されました。」
症例
6
上まぶたのたるみ手術+眼瞼下垂
手術前
手術後
標準的な治療費用
550,000円(税込)
リスクと合併症
左右差、内出血、感染、瘢痕など
症例
6
上まぶたのたるみ手術+眼瞼下垂
38歳女性
【担当:石原先生】
DOCTOR’S COMMENT
「ご本人いわく生まれつき垂れ目のようだったのですが、最近その程度が強くなってきたとのことでした。確かに目尻が下がった形で、さらに年齢的にたるみの要素が加わってきていました。切開法でたるみをとり、二重のラインを作る際に眼瞼挙筋を前転して目を大きく見せることで、パッチリさせることができました。」
症例
7
眼瞼下垂
手術前
手術後
標準的な治療費用
440,000円(税込)
リスクと合併症
左右差、内出血、感染、瘢痕など
症例
7
眼瞼下垂
24歳女性
【担当:石原先生】
DOCTOR’S COMMENT
「眼瞼下垂手術の応用で、一重や幅の狭い二重の人のまぶたを大きくすることができます。まぶたを持ち上げる筋肉(眼瞼挙筋)を短縮、前転して筋肉の力を強くすることで、まぶたを持ち上げやすくして目が大きく開くようになります。手術には高い技術が必要なのと、目を大きく見せる程度の調整が難しいので、経験の多いドクターにお願いしてください。この方は二重の幅を変えずに目を大きく見せたいとのことで、この手術を行いました。ご覧のとおり、二重まぶたの幅が変わらなくても、印象はずいぶんと変わりました。」
症例
8
眼瞼下垂
手術前
手術後
標準的な治療費用
440,000円(税込)
リスクと合併症
左右差、内出血、感染、瘢痕など
症例
8
眼瞼下垂
35歳女性
【担当:石原先生】
DOCTOR’S COMMENT
「眼瞼下垂の症状の見た目の特徴として、この方の左目のように多重ラインやくぼみ目になることがよく見られます。眼瞼挙筋腱膜前転術という手術法で眼瞼下垂を治し、同時に二重ラインをしっかり作成することで、それらの症状も改善することができます。」
症例
9
眼瞼下垂
手術前
手術後
標準的な治療費用
440,000円(税込)
リスクと合併症
左右差、内出血、感染、瘢痕など
症例
9
眼瞼下垂
29歳男性
【担当:倉地先生】
DOCTOR’S COMMENT
「二重幅の左右差が気になるとのことで来院された患者様です。右目は二重幅が広く、眼瞼下垂を伴っていると診断しました。左の二重幅に合うように右の二重幅を設定し、腱膜固定術を追加して眼瞼下垂も改善させました。術後、右目は軽くなり二重幅の左右差も気にならなくなってかなり満足の結果です。」
症例
10
二重まぶた 切開法・眼瞼下垂
手術前
手術後
標準的な治療費用
550,000円(税込)
リスクと合併症
二重ラインの消失、内出血、感染、瘢痕など
症例
10
二重まぶた 切開法・眼瞼下垂
21歳男性
【担当:加曾利先生】
DOCTOR’S COMMENT
「二重を希望され来院されました。下がり目改善を外側フォルニクス形成で、二重ラインを深めにするために眼瞼挙筋をチェックリガメント(靭帯)からリリースすることで対処しました。患者さんが潜在的に持っていた好感度が引き出せたと思います。」